ACCUEIL
NOTRE EQUIPE
NOTRE CABINET
DENTAL MONITORING
NOTRE ECO-ENGAGEMENT
INCIDENTS ET SOLUTIONS
NOS CONSEILS
Pourquoi consulter un orthodontiste pour un traitement orthodontique ?
L'empreinte optique
L'orthodontie de l'adulte
Coût et prise en charge
Questions fréquentes en orthodontie
La réussite d'un traitement
Les enfants & les adolescents
Qu'est-ce que l'orthodontie ?
NOS VIDEOS
Le brossage
Les élastiques
Les appareillages
Les traitements spécifiques
HONORAIRES
CONTACTEZ NOUS
Rue Jules Doumont, 12 boîte 1, 5190 Jemeppe-sur-Sambre
+32 71 71 34 23
ACCUEIL
NOTRE EQUIPE
NOTRE CABINET
DENTAL MONITORING
NOTRE ECO-ENGAGEMENT
INCIDENTS ET SOLUTIONS
NOS CONSEILS
Pourquoi consulter un orthodontiste pour un traitement orthodontique ?
L'empreinte optique
L'orthodontie de l'adulte
Coût et prise en charge
Questions fréquentes en orthodontie
La réussite d'un traitement
Les enfants & les adolescents
Qu'est-ce que l'orthodontie ?
NOS VIDEOS
Le brossage
Les élastiques
Les appareillages
Les traitements spécifiques
HONORAIRES
CONTACTEZ NOUS
Blog - Page 7
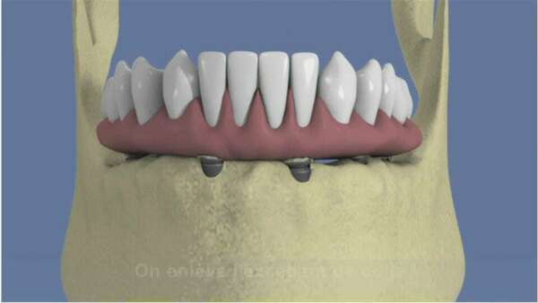
Mandibule complète et traitement implantaire pour un bridge fixe vissé
EN SAVOIR PLUS
Comment bien utiliser la brossette interdentaire ?
EN SAVOIR PLUS
Mandibule : all-on-4
EN SAVOIR PLUS
Extraction et implantation immédiate – mise en esthétique directe
EN SAVOIR PLUS
Traitement orthodontique : les règles du succès
EN SAVOIR PLUS
Traitement d'une carie par inlay/onlay
EN SAVOIR PLUS
Affichage des articles 37-42 sur 178
‹
1
2
3
4
5
6
7
8
9
10
11
…
29
30
›
Découvrez notre collection de fiches pédagogiques
Rechercher dans le blog Blog
Enfants et Ados
(8)
Incidents et urgences orthodontiques
(4)
Informations générales dentaires
(46)
L'orthodontie de l'adulte
(6)
L'orthodontie de l'adulte
(1)
La réussite d'un traitement
(15)
Les enfants & les adolescents
(22)
Les questions fréquentes
(4)
Notre éco-engagement
(2)
Orthodontie
(132)
Qu'est-ce que l'orthodontie ?
(28)
Questions fréquentes en orthodontie
(6)
Politique de confidentialité et charte cookie
Mentions légales
Conditions Générales Utilisation
Rechercher dans le blog Blog
Création par
Connexion
Vidéo en cours de lecture